Micro-CT(Xradia 515 Versa)采用独特的几何加光学两级放大成像技术,以大样品高分辨率和高衬度的成像能力为特征,该设备不仅能够在3D全景中展示完整大样品的内部细节,还可以针对小样品进行高分辨成像并观察细节特征。X射线显微成像技术已经广泛的应用在生命科学动植物病理分析、微观形貌观察、材料科学、药物制剂开发研究等领域。成像设施购置的Micro-CT(Xradia 515 Versa)目前已经完成安装调试并对外提供技术服务,设备的主要配置与功能如下:
主要功能及特色:
两级放大技术:提供几何加光学两级放大架构,尽享大工作距离高分辨率成像(RaaD)带来的优势。

可实现高分辨率的系统稳定性:抗震花岗岩底座、环境热稳定、低噪声探测器及先进、专有的稳定机制。
大视野拼接:用于垂直或水平拼接多个连续断层扫描图像的成像方法。
Smartshield智能防撞系统:增强了样品和设备的3D安全意识,对用户更友好。
多种衬度成像模式:除了吸收衬度模式外,可调节的传播相位衬度技术通过探测经过材料后产生折射的X射线光子信号,可显示出那些吸收衬度很低甚至没有吸收衬度的特征。
主要规格及技术指标:
设备型号:蔡司Xradia 515 Versa。
X射线源:高性能闭管透射源(30-160 kv,最大功率10 w)。
物镜与探测器:可选0.4X、4X、20X物镜。
空间分辨率:最高真实空间分辨率900 nm。
支持多种成像模式:吸收衬度、相位衬度、定位放大。
X射线滤光片:手动单滤光片支座,包括12片标配滤光片。
主要应用:
定位放大:配备4轴马达台和可见光摄像头(VLC),可以在计算机上通过软件操作轻松的进行样品对中,并进行坐标转换定位放大拍摄。

(a)内部ROI区域在“定位”扫描中的位置参看。(b)a图选中区域被数码放大显示,(c)“放大”扫描后的结果显示。上图可以清楚看到内部待扫描ROI区域和实际“放大”扫描位置为同一位置。
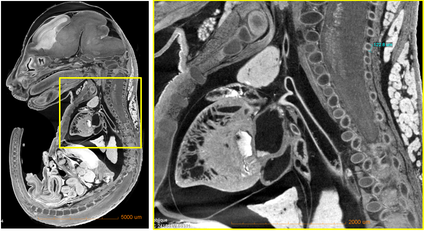
三维无损成像:可对生物、材料等实验材料进行三维无损成像,图为6.5 um体素分辨率扫描的小鼠胚胎。

(a)图为使用6.5um体素分辨率拍摄的2D切片(b)图为对感兴趣位置进行放大拍摄,可清晰看见脊椎以及内脏结构。
技术参考文献
1. Castellano, E., et al. (2013). "Requirement for Interaction of PI3-Kinase p110α with RAS in Lung Tumor Maintenance." Cancer Cell 24(5): 617-630.
2. Valenzuela, T. F., 3rd, & Iaizzo, P. A. (2023). Multimodal Imaging of a Culotte Bifurcation Procedure in the Left Main Coronary Artery of a Perfusion-Fixed Human Heart: Step-by-Step with Serial Micro-CT Analyses. Journal of cardiovascular translational research, 16(4), 927–937.
设备现场图片:

设备存放地点:
北京市怀柔区多模态跨尺度生物医学成像设施2号楼109室
设备负责人:
牛佳浩 博士(微信:18810386760)
设备预约入口:
https://ioc.nbic.cn:37218/#/equipment/detail?id=634761446294557893
(须提前联系设备负责人,注册北京大学设备管理平台账号。)
往期回顾: